Vidéos 3D

Expansion palatine - activation du disjoncteur

Expansion palatine - activation du disjoncteur

Carriere motion classe ii

Carriere motion classe ii

Les élastiques de classes ii et iii

Les élastiques de classes ii et iii

Éducateur fonctionnel – concept d’intervention et de prévention

Éducateur fonctionnel – concept d’intervention et de prévention

Appareil herbst

Appareil herbst

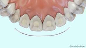
Fil de contention

Fil de contention

Affichage des articles 1-6 sur 13